Smile Gallery
Example Before Vs. After
-
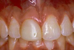
Before
This is where you would describe what is seen in the "before" stage, ie. what issues exist with the teeth

-
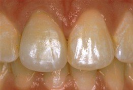
After
This is where you would include a description of what was done to fix the problem described in the previous stage
